実は
矯正治療のベストタイミングは
『乳歯があるうち』

お子さまの歯並び、
今こそ見直してみましょう。

SCROLL

お子さまの歯並び、
今こそ見直してみましょう。

お子様にこんなクセ
ありませんか?

口をいつもポカンと開けている子ども

口をいつもポカンと
開けている

食事中にクチャクチャと音を立てて食べる子ども

食べるときに
クチャクチャ音を立てる

発音が不明瞭な子ども

発音が不明瞭で、
サ行・タ行がうまく言えない

噛む力が弱く、噛む回数が少ない子ども

噛む力が弱い
噛む回数が少ない

寝ているときによくイビキをかいている子ども

寝ているときに
よくイビキをかいている

頬杖をついたり、姿勢が悪い子ども

頬杖やうつぶせ寝が
クセになっている

「うちの子、該当する項目があって心配…」「矯正って大人になってからじゃダメなの?」

知って欲しい! 『口腔育成』の大切さ

歯並びが悪くなる本当の原因は
舌の位置口まわりのクセ

歯並びが悪くなる原因はさまざまありますが、実は「舌の位置」や「お口まわりのクセ」が大きく関係しています。
このような悪いクセを放っておくと、出っ歯(上顎前突)、
受け口(下顎前突)、開咬(前歯が閉じない状態)などといった歯並びの乱れが起こるだけでなく、お顔立ちや健康面にも影響を及ぼすことがあります。

舌の正しい位置を示すイラスト

悪いクセを放っておくと…

  • 叢生 歯がガタガタ 叢生のイラスト
  • 開咬 前歯で噛めない 開咬のイラスト
  • 過蓋噛合 咬み合わせが深い 過蓋噛合のイラスト
  • 交又咬合 咬み合わせのズレ 交又咬合のイラスト
  • 空隙歯列 すきっ歯 空隙歯列のイラスト
  • 上顎前突 出っ歯 上顎前突のイラスト
  • 下顎前突 交又咬合→受け口 下顎前突のイラスト
  • 永久歯が
    生えてこない
    永久歯が生えてこないのイラスト
  • アデノイド顔貌 横から見ると
    顎がない
    アデノイド顔貌のイラスト
  • 顔が
    左右非対称
    顔が左右非対称のイラスト

費用面での比較

悪いクセが原因で歯並びが悪くなってしまった場合、多くの場合は矯正装置による治療が必要になります。

時期 費用 期間 特徴
小児期の予防矯正
165,000円〜385,000円 165,000円

385,000円
6ヶ月〜3年 6ヶ月

3年
成長を活用・負担少 成長を活用
負担少
成人矯正 605,000円〜990,000円 605,000円

990,000円
3〜5年 3年

5年
装置が目立つ・痛みあり 装置が目立つ
痛みあり

矯正には1~2年以上の期間が必要で、保険適用外のため高額になることも。
だからこそ、歯並びが悪くなる前に
「原因=悪いクセ」を改善しておくこと
がとても重要なのです。

お子様の成長に
もたらすメリット

小児期の口腔育成は、
単に歯並びを整えるだけではありません。

  • 顎の健全な成長をサポート 顎の健全な成長
    サポート
  • 正しい呼吸・発音・咀嚼機能の確立 正しい呼吸・発音・
    咀嚼機能
    の確立
  • 口呼吸から鼻呼吸への改善 口呼吸から
    鼻呼吸
    への改善
  • 将来的に本格矯正が不要になる可能性 将来的に高額な矯正装置が
    不要
    になる可能性

年齢に合わせた矯正治療
- ACCORDING TO AGE -

幼児
(3〜6歳頃)
幼児がスプーンを口に運んでいる様子

乳歯の段階から
スタートできる “早期矯正”

乳歯の段階で顎や咬み合わせに異常があれば、機能矯正や床矯正を行います。
適切なタイミングでの治療が、将来の大がかりな治療を防ぐカギになります。

小学生
(6〜10歳頃)
小学生が歯磨きをしている様子

永久歯への
生え変わり時期がチャンス

永久歯が生え始めるこの時期に、顎の成長やスペース不足を床矯正で調整。将来の歯列不正を予防し、よりスムーズな矯正へとつなげます。

中学生
(11歳〜)
中学生の女の子が笑っている様子

見た目と機能を両立した
“本格矯正”へ

全ての歯が永久歯に生え変わってからの治療。歯並びが悪いと見た目だけでなく、むし歯や歯周病になりやすくなります。将来ご自身の健康な歯で過ごすためには、矯正がカギとなります。

当院が薦める子ども矯正治療

噛み合わせの土台を整える”機能矯正” 機能矯正装置(ムーシールド/Vキッズ)

色とりどりのムーシールドやプレオルソなどの矯正装置

噛み合わせの土台を整える”機能矯正” 機能矯正装置(ムーシールド/Vキッズ)

“受け口や口呼吸は、
早めの対応がカギです。”

プレオルソ・ムーシールドVキッズは、舌や唇、頬などの筋肉の動きを正しく導き、顎の発育や咬み合わせを整えるための装置です。
とくに反対咬合(受け口)や口呼吸などの癖を改善するため、
3~6歳頃の早期治療に適しています。成長の力を利用するため、
短期間で効果が出やすく、将来的に抜歯や外科手術を避ける可能性も
高まります。取り外し式で、お子さまにも優しい治療です。

こんなお子さまに向いています

  • 3〜6歳で、咬み合わせや発音に違和感がある
  • 舌を前に出すクセや口呼吸がある
  • 家族に「受け口」の既往がある

顎の成長をコントロールして、歯が並ぶスペースを確保 床矯正(床矯正装置/拡大床)

ワイヤー付きの床矯正装置の写真

顎の成長をコントロールして、歯が並ぶスペースを確保 床矯正(床矯正装置/拡大床)

“歯を抜かない矯正”をめざす、
やさしい治療法

床矯正は、成長途中のお子さまに向けた矯正装置で、顎の幅をゆっくり広げることで、歯がきれいに並ぶためのスペースをつくります。
取り外しができる装置なので、食事や歯みがきの妨げにならず、
負担も少ないのが特徴です。
歯が並ぶ場所が足りないと、将来的に抜歯が必要になることも。
床矯正によってそのリスクを減らし、自然な歯並びへ導く準備ができます。

こんなお子さまに向いています

  • 歯の重なりやすき間が気になる
  • 6〜10歳で永久歯が生え始めている
  • できるだけ「歯を抜かずに矯正したい」と考えているご家庭

目立たず、快適に治すマウスピース矯正 インビザライン・ファースト

笑顔の女の子とinvisalign firstの文字

目立たず、快適に治すマウスピース矯正 インビザライン・ファースト

インビザライン・ファーストは、
“こども専用”の透明矯正

インビザライン・ファーストは、小学生〜中学生を対象に開発された、透明なマウスピース型の矯正装置です。金属を使わないので見た目に気づかれにくく、違和感も少ないのが特徴です。
装着は1日20時間以上必要ですが、取り外し可能なので食事や歯みがきもスムーズ。従来のワイヤー矯正が苦手なお子さまにも安心して使えます。
また、歯並びを整えるだけでなく、顎の幅やバランスを同時にコントロールできるため、抜歯を避ける可能性も広がります。

こんなお子さまに向いています

  • 見た目や装置の違和感を気にしやすい
  • 矯正装置に対して不安や抵抗がある10歳前後で
    顎の成長を活かした矯正を希望される方

歯並びを良くするトレーニング方法 「MFT」をご存知ですか?

歯並びを良くする トレーニング方法 「MFT」をご存知ですか?

MFT(口腔筋機能療法)とは?

MFT(Myofunctional Therapy)は、舌・唇・頬・顔などの
口まわりの筋肉を
正しく機能させるためのトレーニングです。

MFTで期待できること

  • 舌や唇の動き・位置を正しく改善
  • 顎の成長をサポートし、
    自然な歯並びへ導く
  • 出っ歯・受け口・開咬などの原因を
    根本から予防
  • 将来的に高額な矯正装置が不要になる
    可能性も
  • 矯正治療との並行で治療効果が高まり、
    後戻りを防ぐことができる

MYOFUCTIONAL THERAPY

お子様の健康を守るお口の教科書とアクティビティテキスト

幸田歯科医院の「MFT予防矯正」

歯並びに関する問題を根本から解決 健康的な歯並びへの予防的アプローチ

歯並びに関する問題を根本から解決 健康的な歯並びへの 予防的アプローチ

当院では、お子様の矯正治療を
MFT予防矯正」という
特別なプログラムで実施しています。
このプログラムは、取り外し可能な3種類の「筋機能矯正装置」と
さまざまなアクティビティを組み合わせた治療法で、
お子様の歯並びに関する問題を根本から解決を目指しています。

歯科衛生士と笑顔の子どもが矯正治療について話している様子

安心して矯正治療を進められる7つのステップ

安心して矯正治療を進められる 7つのステップ

  1. 受付で問診票を記入する親子の様子

    STEP01

    ご来院・受付

    初診時には保険証を受付にご提示ください。
    問診票に必要事項をご記入いただきます。

  2. 先生とお子様が向き合って話す様子

    STEP02

    ご相談・カウンセリング

    患者様のお話を伺います。
    治療に関する希望や不安、生活習慣や悪習癖などを確認します。

  3. 歯の模型とレントゲンを表示している画像

    STEP03

    精密検査

    歯や口腔内の状態を詳細に把握するため、専用器具やレントゲン、
    3Dスキャンなどで検査を行います。

  4. 治療計画の説明を受けている場面

    STEP04

    治療計画の説明

    検査結果を基に、現在の口腔内の状況を説明し、治療計画を立案します。
    治療方法や費用について詳しく説明し、質問に答えます。

  5. 子どもが治療中の様子

    STEP05

    治療・通院

    矯正治療を計画通りに開始します。
    お子様の口腔内の状況に合わせた矯正装置を選択し、
    自宅でのケア方法も指導します。
    定期的に装置の調整を行い、通院の頻度は週1回から月1回、
    後には2~3ヶ月に1回へと変わります。
    症状に応じて、必要な追加治療も行います。

  6. 治療後の口腔内確認の様子

    STEP06

    治療後の観察

    歯の位置を固定し、後戻りを防ぐための「保定」を行います。
    悪い習慣や癖の改善、軟組織の改善、口周りの筋肉や舌の訓練も行います。

  7. 歯科衛生士が定期検診をしている様子

    STEP07

    メインテナンス・定期検診

    歯のクリーニング、歯周病やむし歯のチェックを定期的に行います。
    歯磨き方法の指導や生活習慣に関するアドバイスを提供します。

小児矯正歯科治療の料金表(税込)

MFT(筋機能療法)

MFT治療

55,000円 / 年

追加の場合

5,500円 / 月

インビザライン・ファースト

治療期間

6〜24ヶ月

回数

6〜24回

費用

診断料  55,000円
基本料金 495,000円
調整料  5,500円 / 月

リスク・副作用
  • 矯正治療開始時や矯正装置の調整後は、装置による不快感や痛みを感じます。(数日間~1、2週間で慣れます)
  • 歯の動き方には個人差があるため、最初の計画よりも治療期間が長くなる可能性があります。
  • 矯正装置が装着されていることにより歯磨きがしづらくなります。そのため丁寧な歯磨きを行わないとむし歯や歯周病リスクが高くなります。
  • 顎の成長によって、歯並びや咬み合わせが変わる場合があります。

プレオルソ・ムーシールド

治療期間

3~24ヶ月

回数

3〜24回

費用

1装置 55,000円

リスク・副作用
  • 骨格性の不正咬合など歯列矯正用咬合誘導装置(プレオルソ・ムーシールド)が適応にならないことがあります。
  • 年齢によっては装置を使っていただくことが難しいことがあります。
  • 歯列矯正用咬合誘導装置(プレオルソ・ムーシールド)による治療で受け口を治した後に、成長途中で戻る可能性があります。

Vキッズ

治療期間

3~24ヶ月

回数

3〜24回

費用

1装置 44,000円

リスク・副作用
  • 装着時に違和感を感じることがあります。

床矯正

治療期間

6~36ヶ月

回数

6〜36回

費用

診断料 55,000円
1装置 77,000円
調整料 3,300円 / 月

リスク・副作用
  • 抜歯をしたあとに、痛みが出たり歯ぐきが腫れたりする症状や違和感がでることがあります。
  • 抜歯でできた大きな隙間を歯が移動する必要があるため、治療完了までに時間がかかる可能性があります。

症例紹介

スクロールして
他の症例を見る →

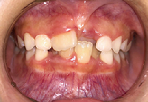
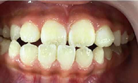
症例 : 7歳 女性

Before

After

主訴
叢生(歯がガタガタ)
治療方法
床矯正+インビザラインファースト
総額治療費
550,000円(税込)
治療期間
3年
治療のリスク・副作用
前歯を正しい位置に移動する時に、咬み合わせが不安定になることがあります。

改善ポイント

左側の前歯が反対咬合のため、床矯正だけでは改善が難しく、インビザラインファーストを併用しました。
少しずつ動かしていく必要があるため、治療期間もやや長くかかりましたが、綺麗な歯並びになりました。

症例 : 9歳 男性

Before

After

主訴
反対咬合(受け口)
治療方法
プレオルソ+インビザファースト
総額治療費
660,000円(税込)
治療期間
6ヶ月
治療のリスク・副作用
下顎の後退中に顎に痛みを感じることがあります。

改善ポイント

上顎の拡大のためインビザラインファーストを行いつつ、上下関係を改善させるためにプレオルソを就寝時に着用し、下顎の後退を期待しました。

症例 : 8歳 女性

Before

After

主訴
叢生(歯がガタガタ)
乳歯の晩期残存(乳歯が抜けず残ってしまっている状態)
治療方法
床矯正+インビザファースト
総額治療費
660,000円(税込)
治療期間
2年半
治療のリスク・副作用
治療期間が長くなってしまう

改善ポイント

乳歯が抜けないまま放っておくと、永久歯が生えてくるスペースがなく、歯並びが悪くなってしまいます。
下顎前歯が生えてくるのを待ってから顎の拡大を行い、歯並びの調整にインビザファーストを行いました。

症例 : 39歳 男性

Before

After

主訴
空隙歯列(すきっ歯)
治療方法
インビザラインフル
総額治療費
790,000円(税込)
治療期間
6ヶ月
治療のリスク・副作用
矯正治療中は口腔内が少し狭く感じ、舌の動きにやや違和感が出る場合があります。

改善ポイント

できるだけマウスピースを長く装着していただくことで計画通りに治療をすすめることができます。マウスピース矯正は年齢制限がないため30.40代の方でも治療を行うことができ、また目立ちにくい装置のため、お仕事にも支障なく過ごしていただけました。
進捗アイコン

KOUDA DENTAL CLINIC

院長あいさつ

こんにちは。神戸市西区の「幸田歯科医院」院長、幸田と申します。

当院の使命は、皆様の健やかな日常生活を支え、美しい笑顔と正しい噛み合わせを育むことです。
そのために私たちは「矯正治療を通じて健康と笑顔を創造する」というビジョンを掲げています。

小児から成人まで幅広い世代に対応した矯正治療を行っております。
お子さまの成長期に合わせた早期矯正から、大人の方の目立ちにくい矯正まで、患者様一人ひとりに最適な治療計画をご提案いたします。
「お口の美と健康」を実現するために、最先端の設備と温かいサポート体制で、安心してご相談いただけます。

スタッフ一同、皆様が自信を持って笑顔になれるよう全力でお手伝いいたします。矯正に関するお悩みやご質問がございましたら、どうぞお気軽にご相談ください。

幸田歯科医院 院長
幸田 起英

幸田歯科医院の院長、幸田慶英先生の笑顔のポートレート

KOUDA DENTAL CLINIC

幸田歯科医院 院長
幸田 起英

KOUDA DENTAL CLINIC

院長あいさつ

よくあるご質問

  • Q

    何歳から矯正を始めるのが良いですか?

    A

    一般的には6〜7歳頃、永久歯が生え始めたタイミングで一度ご相談いただくのがおすすめです。
    受け口の症状がある場合は3歳から始めることをおすすめします。

  • Q

    矯正は痛いですか?

    A

    矯正装置をつけた直後や調整後に数日間違和感や軽い痛みを感じることがありますが、多くのお子さんはすぐに慣れます。強い痛みが続く場合はすぐにご相談ください。

  • Q

    どのくらいの期間かかりますか?

    A

    小児矯正では1〜3年程度、成人矯正では3〜5年程度が目安です。
    個人差がありますので、初診時に詳しい治療計画をご説明いたします。

  • Q

    矯正中でも学校や部活動に支障はありませんか?

    A

    多くの場合、日常生活に大きな支障はありません。
    マウスピース型矯正の場合は、装着したまま運動することも可能です。

  • Q

    矯正中でもむし歯になりやすいと聞きますが大丈夫ですか?

    A

    確かに装置の周りは汚れがつきやすくなりますが、正しい歯磨き指導や定期的なクリーニングで予防できます。
    また当院では、歯面清掃やフッ素塗布などのメインテナンスを月1回行っています。

  • Q

    矯正をすると見た目以外にどんなメリットがありますか?

    A

    歯並びが整うことで咬み合わせが改善し、笑顔が増え、表情が明るくなる方が多いです。
    日々の生活でも、食事の効率や発音が良くなるほか、将来のむし歯・歯周病予防にもつながります。

  • Q

    まずは相談だけでもできますか?

    A

    もちろん可能です。初診相談では歯並びや咬み合わせをチェックし、治療の必要性や方法、費用について丁寧にご説明いたします。お気軽にご相談ください。

078-797-0235 WEB予約 WEB問診票